One Injection Reverses Diabetes Symptoms Without Side Effects

There’s no cure for type 2 diabetes right now, and even with the best practices and therapies, healthy glucose levels are hard to achieve. Now researchers say they’re onto a potential treatment that can restore normal insulin activity, normalizing blood sugar levels with just one injection. So far it works without adverse side effects, at least in mice.

With type 1 diabetes, the body attacks the cells that produce the glucose-lowering hormone insulin, which is needed to keep sugar levels from building up in the blood. People with type 2 diabetes can produce insulin, but the body doesn’t respond to it properly and ends up resisting its effects — this is called insulin resistance or insensitivity. At first, the pancreas keeps up by making more insulin, but over time, the pancreas just stops making enough. A group of drugs called thiazolidinediones can restore normal responses to insulin, but they come with side effects ranging from bone loss to accumulation of fat in the liver.

So, a large international team led by Michael Downes and Ronald Evans from the Salk Institute for Biological Studies investigated a promising protein called fibroblast growth factor 1 (FGF1). Previous work has suggested that FGF1 helps regulate insulin sensitivity: Mice who lack the factor quickly developed diabetes when fed a high-fat diet.

In this study, the researchers injected the protein into the bloodstream of diabetic mice and found a potent, glucose lowering effect — without weight gain, bone loss, or fatty buildup in the liver. The work was published in Nature this week.

A single dose was enough to restore blood sugar levels to a healthy range for several days. Sustained treatment, with repeated injections over a month, reversed insulin resistance, restoring the body’s own ability to regulate blood sugar levels. And even at those higher doses, FGF1 didn’t trigger detrimental side effects or cause glucose levels to drop precipitously.

Furthermore, injecting FGF1 in healthy mice had no apparent effect, nor did it work in mice who don’t produce insulin at all (such as with type 1 diabetes). That means FGF1 specifically works with and through insulin to lower glucose levels in diabetes, the Conversation explains.

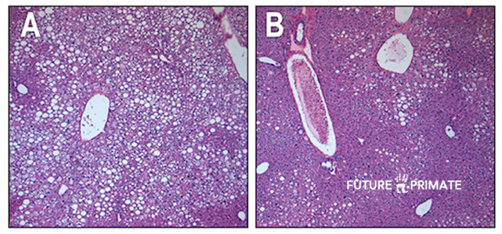
Pictured below, fat-filled cells are prolific in the liver tissue of obese animals with type 2 diabetes. After repeated FGF1 injections, the liver cells successfully lose fat and absorb sugar from the bloodstream and more closely resemble cells of non-diabetic animals.

The findings are still preliminary, and the team needs to figure out how FGF1 exerts its beneficial effects. But if they can suss that out and show that it can work in humans, the protein has huge therapeutic potential for many metabolic diseases characterized by insulin resistance. “Controlling glucose is a dominant problem in our society,” Evans says in a news release. “And FGF1 offers a new method to control glucose in a powerful and unexpected way.”

Learn more here http://www.salk.edu/news/pressrelease_details.php?press_id=2037

Leave a comment

Up ↑